当院の症例紹介
治療前
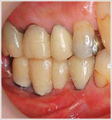
治療後
| 治療 | インプラント |
|---|---|
| 患者様の年齢 | 60代男性 |
| 初診時の状態 | 右下の銀歯のブリッジが噛むと痛いということで来院されました。 |
| 治療内容 | ブリッジを外してみると、歯が虫歯で割れていて抜かなければならない状態でした。 取り外し式の部分入れ歯は嫌だということで、インプラント治療を行うことになりました。 |
| 治療費 | インプラント2本のブリッジ/870,000円(税別) メタルセラミック1歯/120,000円(税別) |
奥歯のインプラント治療の流れ
- 治療前の診断
痛みのあるブリッジ(銀歯)を外してみると、大きな奥歯が2つに割れていて、歯茎には膿が溜まっていました。自然と出血も続いています。
ここまでくると、残念ながら歯は抜かないといけません。 - インプラント治療
抜歯を行い、歯茎や骨が治るのを待ちました。
歯を抜くと穴ぼこができますが、時間が経つと歯茎も骨も平らに治ります。
その後、インプラント治療を行いました。
インプラントを埋入してから2週間後の写真です。 - 骨との結合
インプラントと骨の結合に、3ヶ月待ちました。
写真は、土台が入ったところです。
インプラントの土台のことを「アバットメント」と言います。 - 仮歯の装着
仮歯を装着しました。
この患者様は、上の歯もセラミックで治療していきます。
仮歯を入れて、かみ合わせ、発音、食事、見た目、歯ブラシの当て方などをチェックをします。
問題がなくなったところで、その仮歯を元にセラミックのかぶせ物を作ります。 - 治療完了・定期検診
最終のメタルセラミックのかぶせ物が入りました。
患者様も仕上がりに大変満足して下さり、約束の定期検診もかかさず、来院下さっています。
治療を担当した歯科医師からのコメント
この患者様のお父様は生前歯がなく、入れ歯で苦労されているのをいつも見ていたそうです。お父様から「歯を大切にしろ」と言われ続けていたので、インプラントを選ばれました。
入れ歯は横の歯にバネをかけてもたすため、虫歯や歯周病になって歯がダメになる可能性がとても高いです。
インプラントは、入れ歯のように取り外すことはできません。
自分の歯と同じように食事することができるようになりますが、歯磨きもしっかりとしなければいけません。
